Noida
08048046643

Please keep +91 or 0 before dialling the number.     Please keep +91 or 0 before dialling the number

+918882311010
Align & Smile Dental Care
about-cover-bg image
About Align&Smile Dental Care

The Best Multi-speciality Dental Clinic in noida

Products
Featured Products

What We Do

Need Trusted Second Opinion?

Not sure about your diagnosis or treatment plan? We're here to help.

Doctor's Profile Picture

Dr Ruchi Saxena

Dr Ruchi Saxena

BDS, MDS
Noida

Speciality

Orthodontics


Education

BDS, MDS


Experience

23 years


Mobile

8368912550

Memberships

Indian orthodontic Society Indian Dental Association

Registration No

A-3894

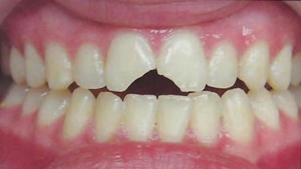
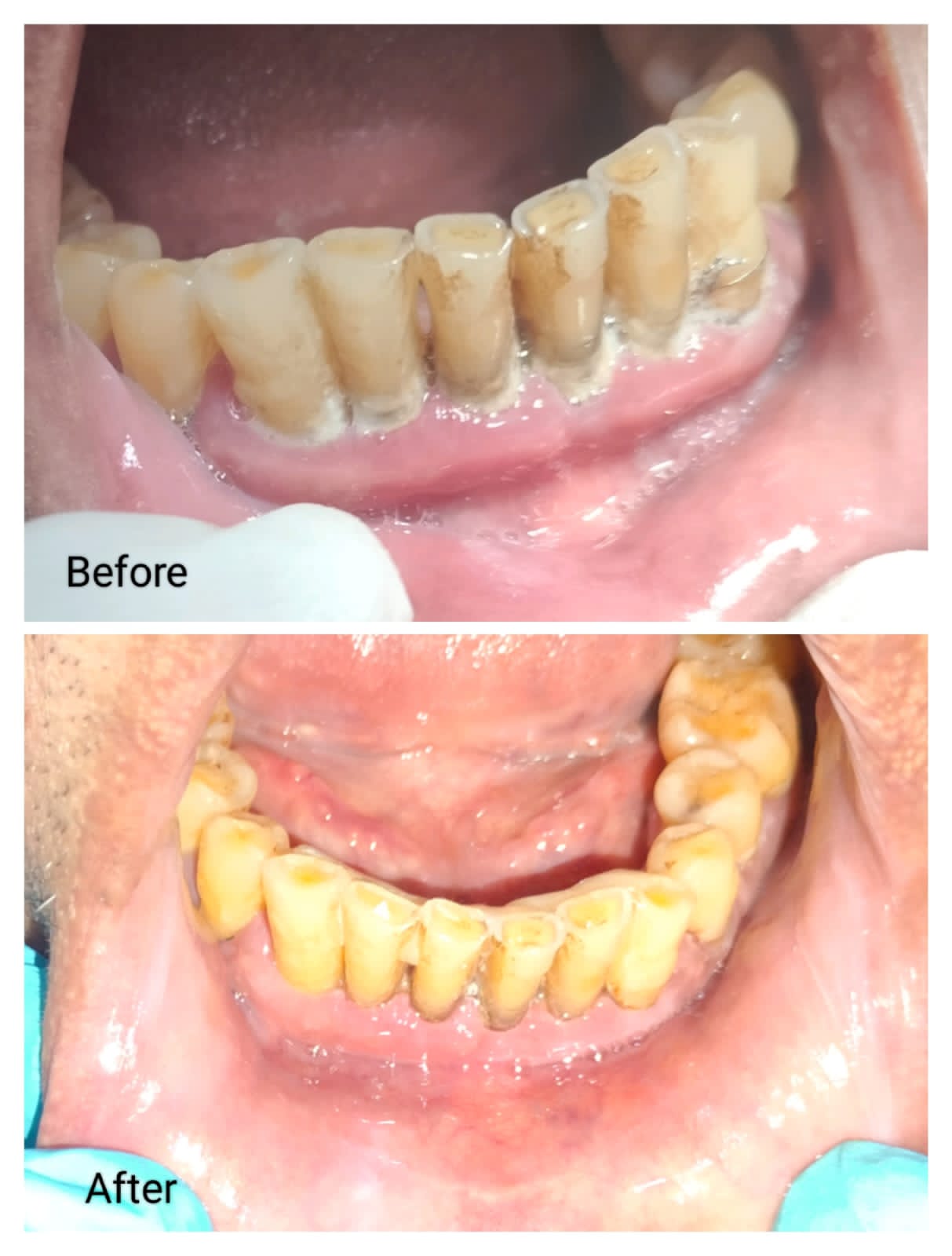
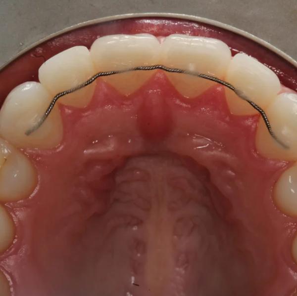
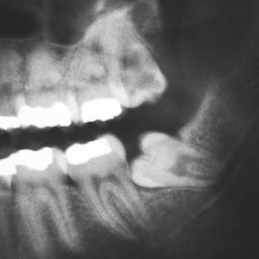
Image Gallery

Pictures That Speak

Testimonials View All
testimonial image
Extraction

I had my tooth extraction done here, and the experience was excellent. The doctor explained the entire process clearly, ...

Read More
testimonial image
Braces

Had my braces done at Align and Smile and I am very happy with the result. Dr. Ruchi is very friendly and explained ever...

Read More
testimonial image
Implant

I came here for a tooth implant and extraction, and it was an excellent experience. Dr. Ruchi is very supportive and an ...

Read More